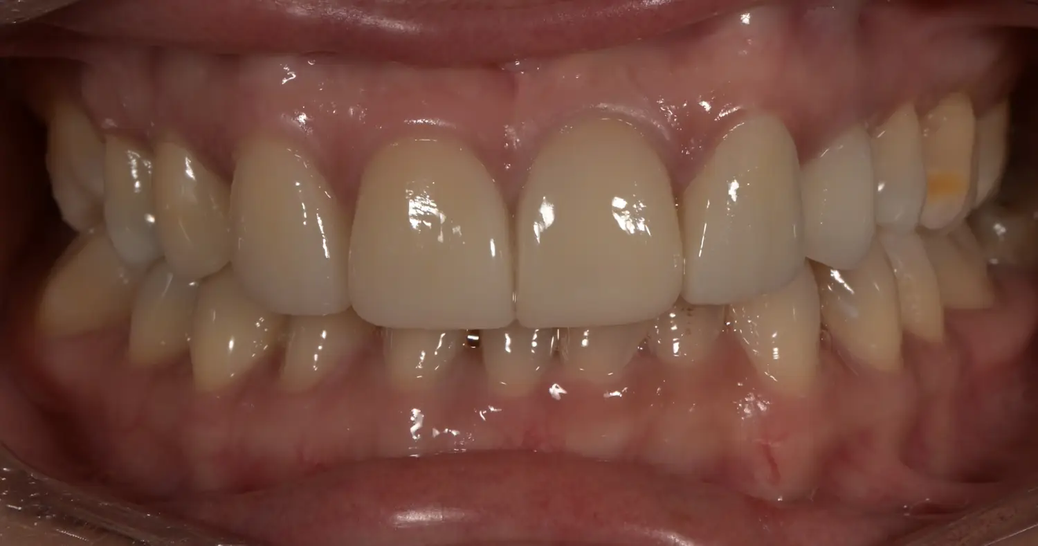
A fully revitalized smile for enhanced function, aesthetics, and confidence.


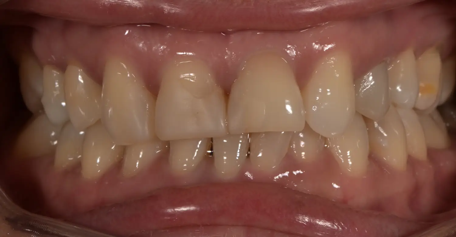
Created a harmonious smile with improved function and aesthetics.


A fully revitalized smile.


Corrected alignment for a straight, confident smile.


Achieved a brighter, more balanced smile with 4 custom veneers.


A fully transformed smile, restoring confidence and aesthetics.


Replaced the front tooth for a natural, lasting solution.


Created a harmonious smile with improved function and aesthetics.


Achieved a beautifully aligned smile with our discreet treatment.


Created a beautiful smile with long-lasting function and aesthetics.


.webp)
.webp)
Restored missing teeth for a beautiful, healthy smile.
%20-%20n.avif)
%20-%20n.avif)
.webp)
.webp)
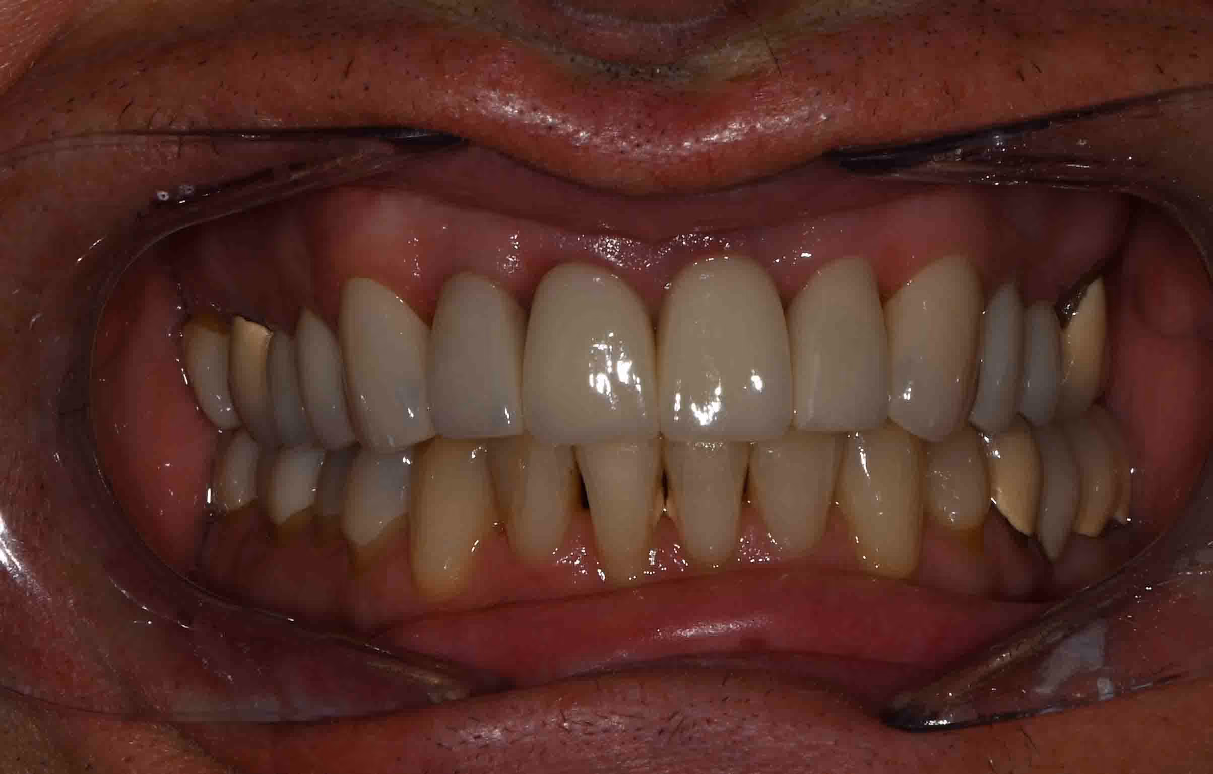
We were able to help restore this patient's smile back to health and function


Renewed aesthetics and improved dental function.


















© Folsom Dental Esthetics 2019
website by Wonderist Agency | Privacy Policy